
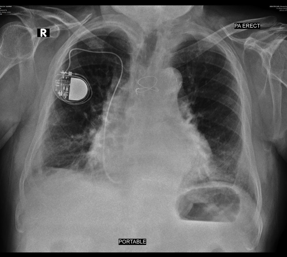
91 year old male, non-smoker known case of CHF with hx of pleural effusion 1 yr back, presented with chest congestion and productive cough (brown sputum) of 1 week. Treated as suspected case of pneumonia, given ceftriaxone 1g for 3 days. Sputum culture showed pseudomonas aeruginosa. Patient feeling better but cough not relieved. Following X-ray done after Antibiotic treatment, what should be the further plan of management. Other labs normal except hb 11, PLT 120 & 80% neutrophils.