Feed
Library
Learning
Discuss
Leaderboard
Journal
Sign in
Login
Sign up
Sign in
Feed
Library
Learning
Discuss
Leaderboard
Journal
Hanin Kaa
about 7 years ago
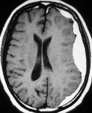
Dx ??
Pathology
Brain
Radiology
Mri
Disorder
10
3
5
Top rated comment
D
DavidFP
about 7 years ago
Subdural hematoma
2
Reply
Hanin Kaa
about 7 years ago
👍🏻
0
Other comments
Sign in
to post comments. You don't have an account?
Sign up now!
AC
Alif Caesar
about 7 years ago
Subdural hematom
1
Reply
Related posts
Scurvy
Hyperparathyroidism
Hyperparathyroidism
Hyperparathyroidism
Hyperparathyroidism
Pagets disease
Paget’s disease.
Haemophilia
Brain Blood Supply
Periapical Pathologies
Recent MCQs
Show more MCQs
Recent flashcard sets
Show more flashcards
Feed
Learn
Add
Search
Discuss