
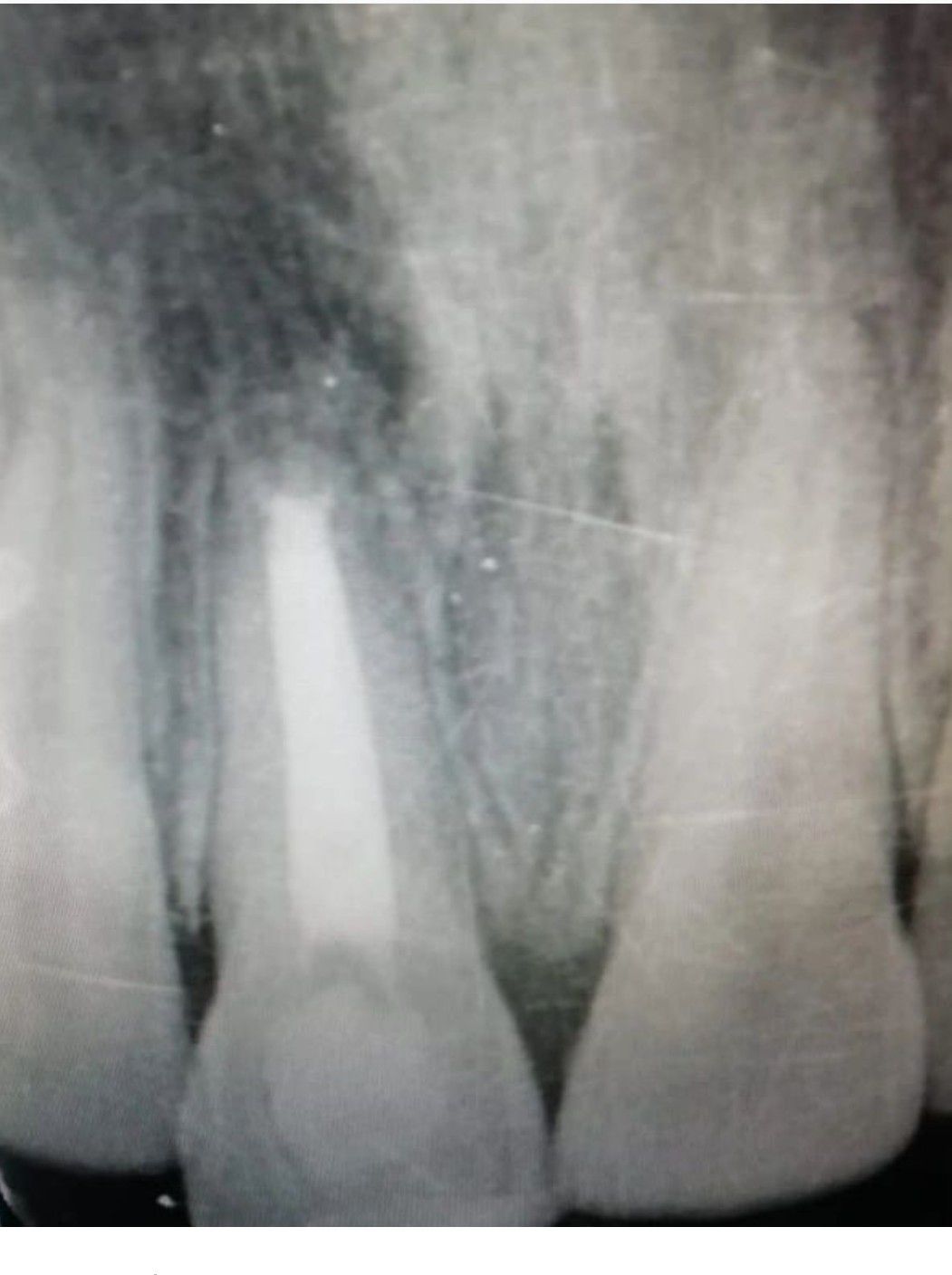
Apexification by Calcium hydroxide in necrotic immature central incisor. ⭐ The apical diameter ranges from 2-3.5 mm. ⭐ It takes 3-10 months for apical barrier to develop. ⭐ The type of apical barrier are 65% cap, 25% bridge and 10% ingrown wedge. ⭐ Rubber dam is applied, debridement done, canal is irrigate, then dried with paper points. ⭐ Root canal is then filled with Caoh by placing needle 2mm short of apex, then introducing Caoh slowly and withdrawing, take xray to evaluate any void, if there is any void specially in apical region, reintroduce the Caoh. ⭐ At recall, observe formation of apical barrier, if Caoh is partially absorbed, repeat the whole process, untill apical closure is achieved. ⭐ Seal the chamber with temporary Zinc-oxide eugenol cement. ⭐ If apical barrier is formed, measure the closure by radiograph and instruments. Lateral obturation is done, and permanent restoration given. ⭐ Keep patient on followup. By: https://www.instagram.com/p/CtZiUz7IYIO/?utm_source=ig_web_copy_link&igshid=MzRlODBiNWFlZA==