MEDizzy
MEDizzy
Sadia
Sadiaalmost 3 years ago
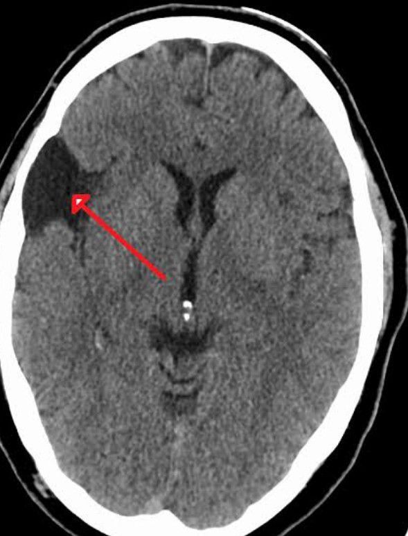
Symptoms of Arachnoid cysts

Symptoms of Arachnoid cysts

Typical symptoms of an arachnoid cyst around the brain include: Headache. Nausea and vomiting. Seizures. Hearing and visual disturbances. Vertigo. Difficulties with balance and walking.

1
Other commentsSign in to post comments. You don't have an account? Sign up now!

Recent MCQs















Show more MCQs

Recent flashcard sets















Show more flashcards