Feed
Library
Learning
Discuss
Leaderboard
Journal
Sign in
Login
Sign up
Sign in
Feed
Library
Learning
Discuss
Leaderboard
Journal
Dr Usman
almost 3 years ago
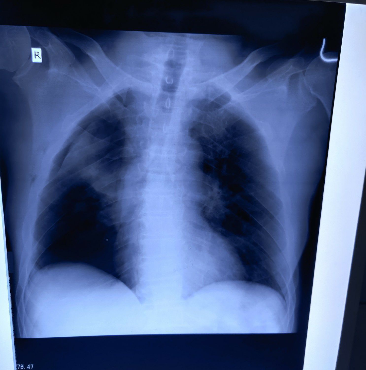
R sided pneumothorax
Chest
Pneumothorax
Rta
0
0
0
Other comments
Sign in
to post comments. You don't have an account?
Sign up now!
Related posts
Darier Disease.
Types of Pneumothorax
Types of Pneumothorax
Pneumothorax Vs Hemothorax
Best areas for auscultation
Types of Pneumothorax
Pneumothorax
open pneumothorax
closed pneumothorax
Tension pneumothorax
Recent MCQs
Show more MCQs
Recent flashcard sets
Show more flashcards
Feed
Learn
Add
Search
Discuss