Feed
Library
Learning
Discuss
Leaderboard
Journal
Sign in
Login
Sign up
Sign in
Feed
Library
Learning
Discuss
Leaderboard
Journal
marwan khan
about 8 years ago
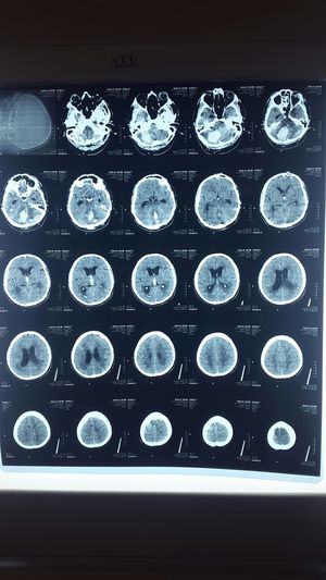
What is diagnose ?
540
2
0
Top rated comment
AR
Asif Raihan
about 8 years ago
Posterior fossa ICH with ventricular extension with hydrocephalus
1
Reply
Other comments
Sign in
to post comments. You don't have an account?
Sign up now!
marwan khan
about 8 years ago
Good job
0
Reply
Related posts
No related posts found
Recent MCQs
Show more MCQs
Recent flashcard sets
Show more flashcards
Feed
Learn
Add
Search
Discuss