
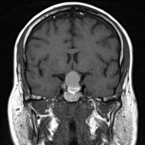
The diagnostic process for pituitary adenomas depends on what kind of adenoma you have and if it’s causing symptoms or not. If you have a hormone-secreting pituitary adenoma, your healthcare provider will likely diagnose you with the condition it causes based on your symptoms before diagnosing the adenoma. This is because many conditions that result from excess hormones can have many different causes — not just pituitary adenomas. This is also true of hypopituitarism (pituitary hormone deficiency) causes. Sometimes, healthcare providers find pituitary adenomas by accident when you get an imaging test of your brain for another condition. In these cases, the adenoma is usually small and nonfunctioning.