
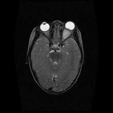
Symptoms of an optic nerve glioma are caused by the tumor pressing against the nerves. Common symptoms of this kind of tumor include: nausea and vomiting balance problems vision disturbances headaches Other symptoms can include: involuntary eye movements memory impairment daytime sleepiness loss of appetite growth delays Hormone problems may also appear because the tumors can occur near the base of the brain where hormones are controlled.