
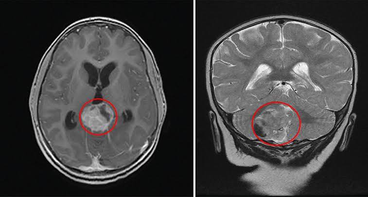
What are the symptoms of rhabdoid tumors? Rhabdoid tumor symptoms depend on your child's age and the location of the tumor. Symptoms usually begin near where a tumor is growing in your child's body. These symptoms may include nerve paralysis, difficulty breathing or a lump on your child's belly (abdomen).