
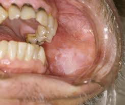
Leukoplakia , thickened, white patches form on your gums, the insides of your cheeks, the bottom of your mouth and, sometimes, your tongue. These patches can't be scraped off. Doctors don't know what causes leukoplakia but consider chronic irritation from tobacco — whether smoked, dipped or chewed — to be the main culprit in its development.