Feed
Library
Learning
Discuss
Leaderboard
Journal
Sign in
Login
Sign up
Sign in
Feed
Library
Learning
Discuss
Leaderboard
Journal
Dr Usman
almost 3 years ago
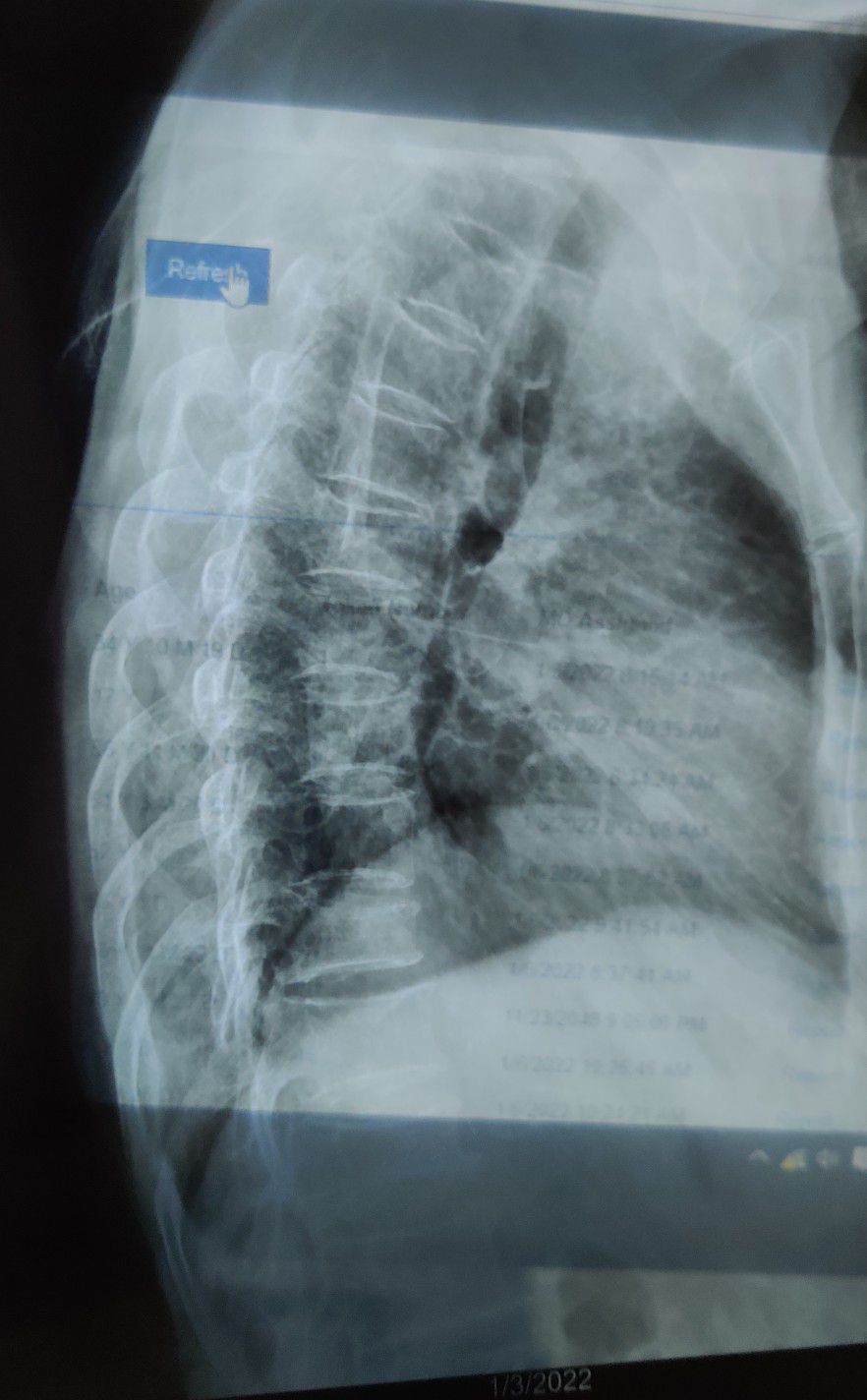
Kyphosis with osteoporosis
Spine
Ortho
Kyphosis
13
0
0
Other comments
Sign in
to post comments. You don't have an account?
Sign up now!
Related posts
ORTHOPEDIC
Spine derangement physiotherapy
Parts of Spine I
Parts of Spine II
Parts of Spine III
Parts of Spine IV
Parts of Spine V
Parts of Spine VI
Spine Radiology I
Spine Radiology II
Recent MCQs
Show more MCQs
Recent flashcard sets
Show more flashcards
Feed
Learn
Add
Search
Discuss