Feed
Library
Learning
Discuss
Leaderboard
Journal
Sign in
Login
Sign up
Sign in
Feed
Library
Learning
Discuss
Leaderboard
Journal
Dr Usman
over 2 years ago
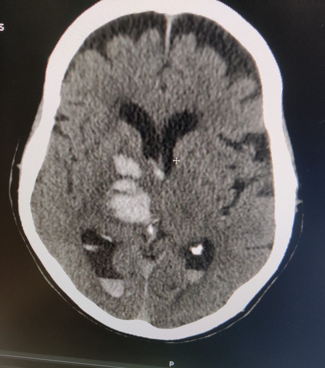
Hemorrhagic CVA
Hemorrhagic CVA
Brain
Cva
Hemorrhagic
0
0
0
Other comments
Sign in
to post comments. You don't have an account?
Sign up now!
Related posts
Metastatic tumour
Residential Pest control in lockhart
Brain waves
Best Probiotics for Women Over 50: A Critical Discussion
Medulla Oblongata Anatomy
Brain Blood Supply
Recent MCQs
Show more MCQs
Recent flashcard sets
Show more flashcards
Feed
Learn
Add
Search
Discuss