Feed
Library
Learning
Discuss
Leaderboard
Journal
Sign in
Login
Sign up
Sign in
Feed
Library
Learning
Discuss
Leaderboard
Journal
Dr Usman
almost 3 years ago
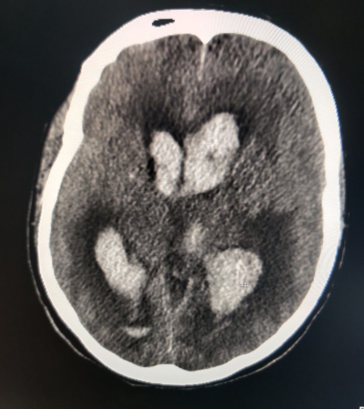
B/L Hemorrhagic CVA including lateral ventricles and 3rd Ventricle
Stroke
Hemorrhagic
Bleed
0
0
0
Other comments
Sign in
to post comments. You don't have an account?
Sign up now!
Related posts
Stroke Assessment
AF and Stroke
Stroke Types
Stroke
Three Stroke Types
Stroke
Stroke Localisation II
Role of Blood pressure in ischaemic stroke?
Stroke: Causes, Risk Factors, Treatment, and Prevention | Mass General Brigham
Approach Stroke Symptoms
Recent MCQs
Show more MCQs
Recent flashcard sets
Show more flashcards
Feed
Learn
Add
Search
Discuss