Feed
Library
Learning
Discuss
Leaderboard
Journal
Sign in
Login
Sign up
Sign in
Feed
Library
Learning
Discuss
Leaderboard
Journal
Dr Usman
almost 3 years ago
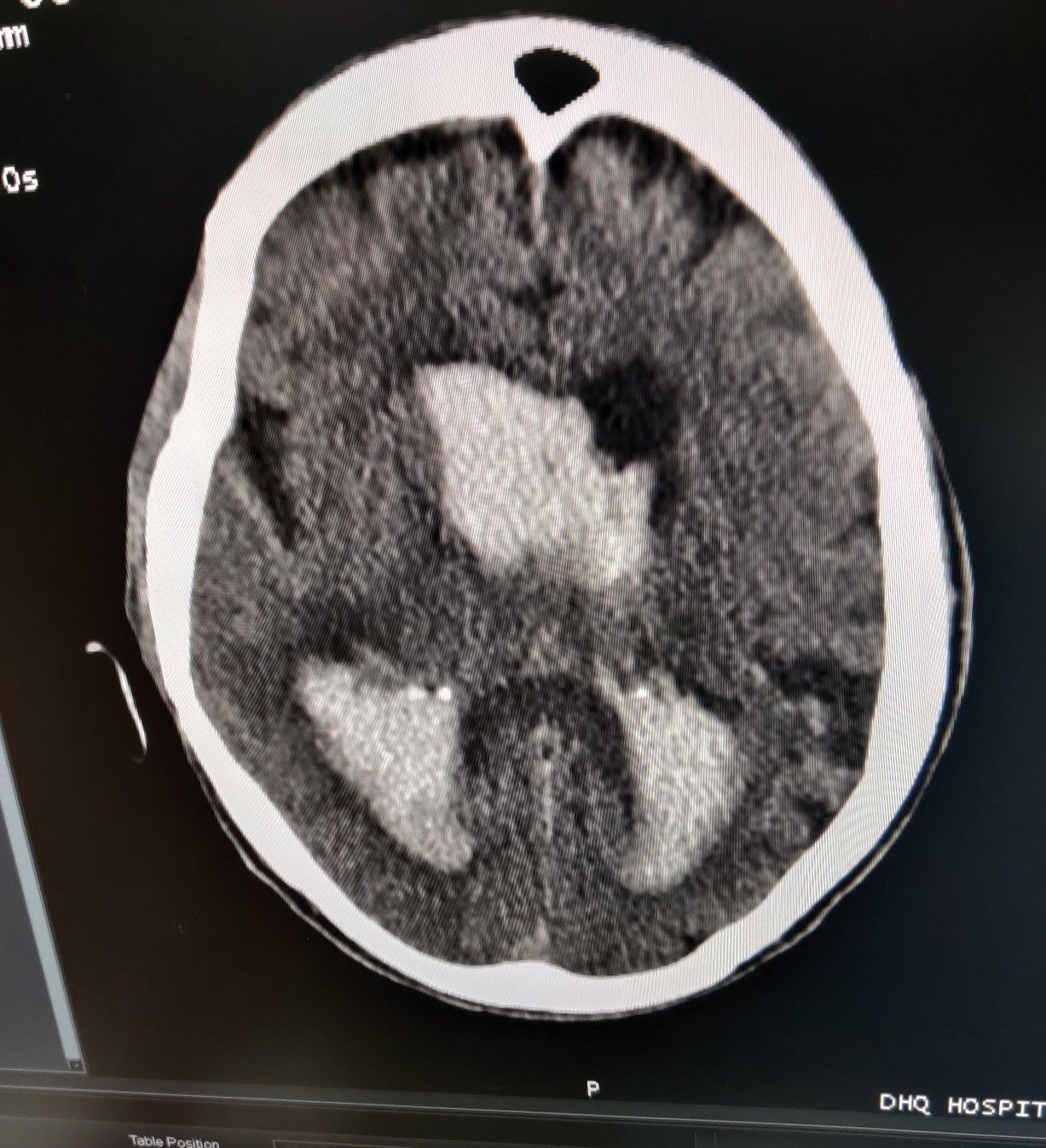
Hemorrhagic CVA
Emergency
Stroke
Hemorrhagic
0
0
0
Other comments
Sign in
to post comments. You don't have an account?
Sign up now!
Related posts
Emergency Meds
Emergency dental kit
Emergency dental kit
Role of Blood pressure in ischaemic stroke?
Emergency Hormonal Contraception
Naloxone
Emergency Medications
Stroke: Causes, Risk Factors, Treatment, and Prevention | Mass General Brigham
Emergency Medications
Approach Stroke Symptoms
Recent MCQs
Show more MCQs
Recent flashcard sets
Show more flashcards
Feed
Learn
Add
Search
Discuss