Feed
Library
Learning
Discuss
Leaderboard
Journal
Sign in
Login
Sign up
Sign in
Feed
Library
Learning
Discuss
Leaderboard
Journal
Dr Usman
almost 3 years ago
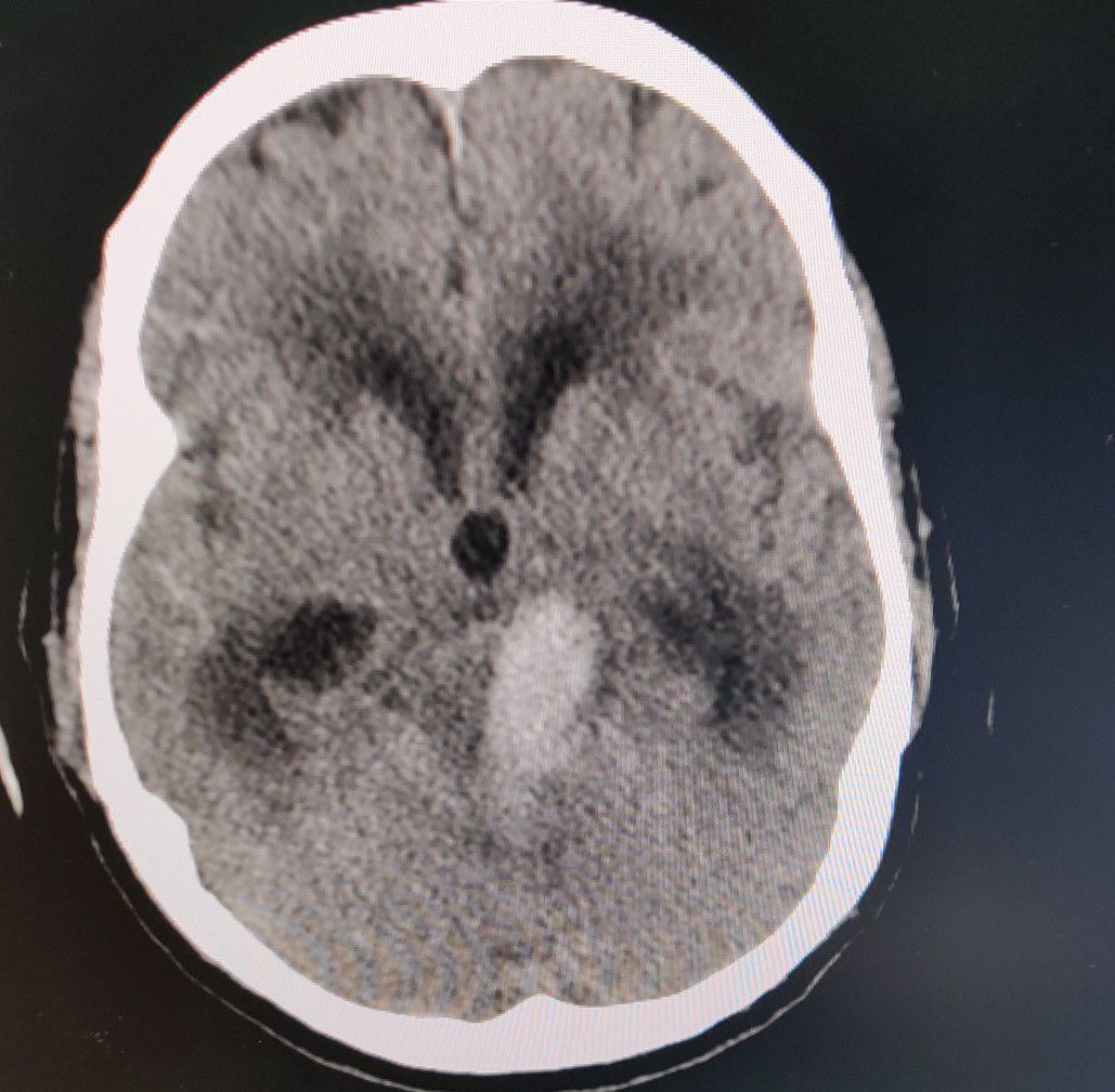
Hemorrhagic CVA
Emergency
Cva
Hemorrhagic
0
0
0
Other comments
Sign in
to post comments. You don't have an account?
Sign up now!
Related posts
Types of CVA
Emergency Medications
Necrosis gangrene
Emergency Meds
Emergency dental kit
Emergency dental kit
Emergency Hormonal Contraception
Naloxone
Emergency Medications
Emergency Medications
Recent MCQs
Show more MCQs
Recent flashcard sets
Show more flashcards
Feed
Learn
Add
Search
Discuss