Feed
Library
Learning
Discuss
Leaderboard
Journal
Sign in
Login
Sign up
Sign in
Feed
Library
Learning
Discuss
Leaderboard
Journal
Dr Usman
almost 3 years ago
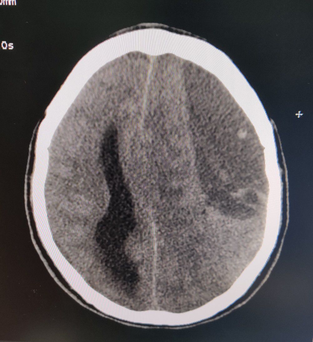
Ischemic CVA or Epidural Hematoma ?
Brain
Ischemia
Epiduralhematoma
0
0
0
Other comments
Sign in
to post comments. You don't have an account?
Sign up now!
Related posts
Residential Pest control in lockhart
Coronary ischemia and recovery
Brain waves
Best Probiotics for Women Over 50: A Critical Discussion
Medulla Oblongata Anatomy
Brain Blood Supply
Recent MCQs
Show more MCQs
Recent flashcard sets
Show more flashcards
Feed
Learn
Add
Search
Discuss