MEDizzy
MEDizzy
syeda irha hasan
syeda irha hasan4 months ago
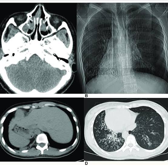
Kartagener syndrome treatment

Kartagener syndrome treatment

Regular sinus washes. Regular ear canal washes. Steroids. Mucus thinners, called mucolytics. Antibiotics. Bronchodilators to relax lung muscles for easier breathing. Ear tubes. Speech therapy.

1
Other commentsSign in to post comments. You don't have an account? Sign up now!

Recent MCQs















Show more MCQs

Recent flashcard sets















Show more flashcards