
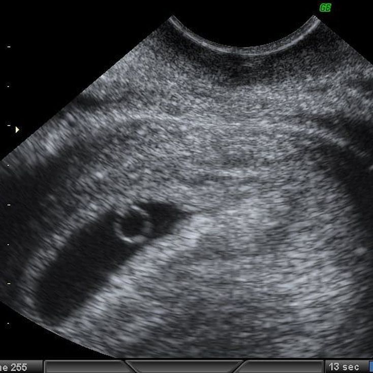
Sonograms at 5–6 weeks of gestational age depict the embryo as a focal thickening at the periphery of the yolk sac—an appearance referred to as “diamond ring” sign. The yolk sac represents the “ring” and the embryo represents the “diamond” in this earliest sign of embryonic development. In case your ultrasound looks like this, congrats!