
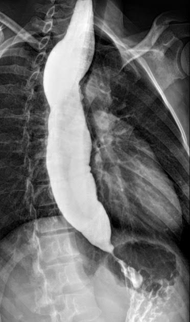
Achalasia symptoms generally appear gradually and worsen over time. Signs and symptoms may include: Inability to swallow (dysphagia), which may feel like food or drink is stuck in your throat Regurgitating food or saliva Heartburn Belching Chest pain that comes and goes Coughing at night Pneumonia (from aspiration of food into the lungs) Weight loss Vomiting