MEDizzy
MEDizzy
L
Linaabout 7 years ago
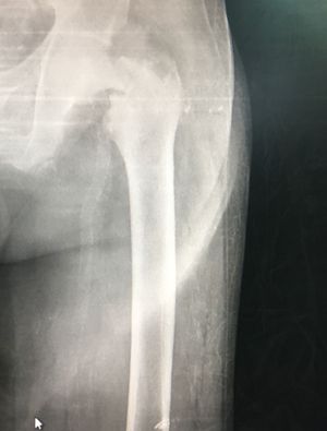
Hip x Ray

Hip x Ray

What is diagnosis??

542
Top rated comment
about 7 years ago

Femoral head fracture

Other commentsSign in to post comments. You don't have an account? Sign up now!
about 7 years ago

Type 4 femoral head fracture the most severe fracture of femoral head

Recent MCQs















Show more MCQs

Recent flashcard sets















Show more flashcards