
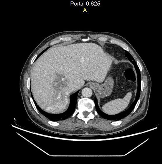
A 62 yeas old man presented to the hospital with liver metastatic tumor due to the primer tumor in the sigmoid colon. The patient has had an intermittent epigastric pain for 4-5 years. Both the liver and the tumor in the sigmoid colon are inoperable at the same time. Therefore, the doctors gave a decision to an operation called “right extended hepatectomy”, where segment 8,7,6,5,4 will be dissected. 2 months later the sigmoid colon will be observed for an operation as planned.