
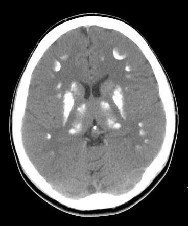
Basal ganglia calcification is a very rare condition that happens when calcium builds up in your brain, usually in the basal ganglia, the part of your brain that helps control movement. Other parts of your brain can be affected as well. This can also be called familial idiopathic basal ganglia calcification or primary familial brain calcification, and it used to be called Fahr’s disease or Fahr’s syndrome. You're most likely to get basal ganglia calcification between the ages of 30 and 60, though it can happen any time. Most people who develop it are in good health before they find out they have it.