
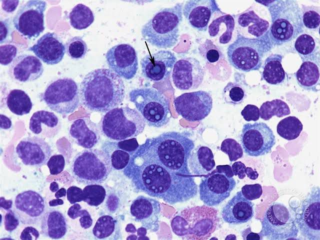
Dutcher bodies are intracytoplasmic immunoglobulin inclusions that either invaginate into or overlie the cell nucleus. They are most commonly seen in patients with plasma cell neoplasms such as Waldenstrom's macroglobulinemia, multiple myeloma, and lymphoplasmacytic lymphoma.