MEDizzy
MEDizzy
Hysteroscopy Newsletter
Hysteroscopy Newsletter about 8 years ago
MEDizzy

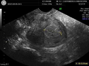
Abnormal uterine peristalsis is a likely a cause of infertility, and can result from the presence of intramural fibroids

0
Other commentsSign in to post comments. You don't have an account? Sign up now!

Recent MCQs















Show more MCQs

Recent flashcard sets















Show more flashcards