
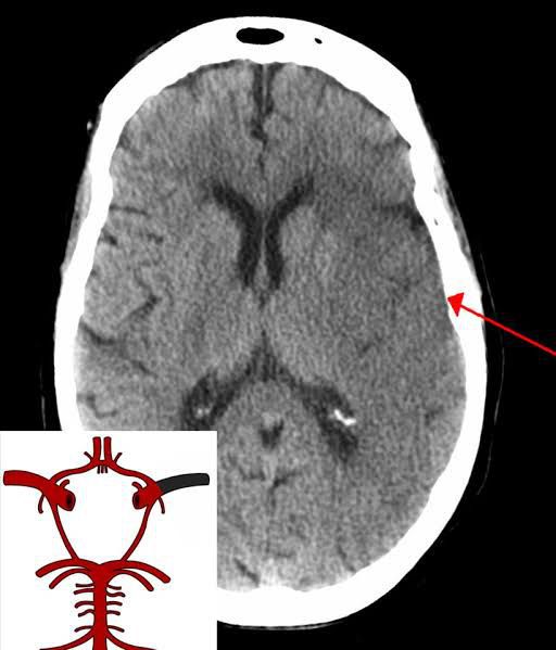
Bamford and colleagues used data from the Oxford Community Stroke Project to define four sub-categories of cerebral infarction on the basis of presenting symptoms and signs: lacunar infarcts (LACI); total anterior circulation infarcts (TACI); partial anterior circulation infarcts (PACI); and posterior circulation ...