
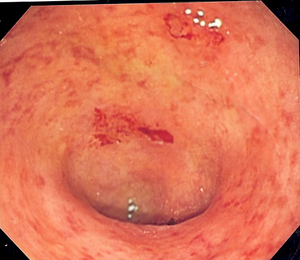
Ulcerative colitis is a long-term condition, where the colon and rectum become inflamed. The colon is the large intestine (bowel), and the rectum is the end of the bowel where stools are stored. Small ulcers can develop on the colon's lining, and can bleed and produce pus.