Feed
Library
Learning
Discuss
Leaderboard
Journal
Sign in
Login
Sign up
Sign in
Feed
Library
Learning
Discuss
Leaderboard
Journal
NJ
Noor Jarrar
about 3 years ago
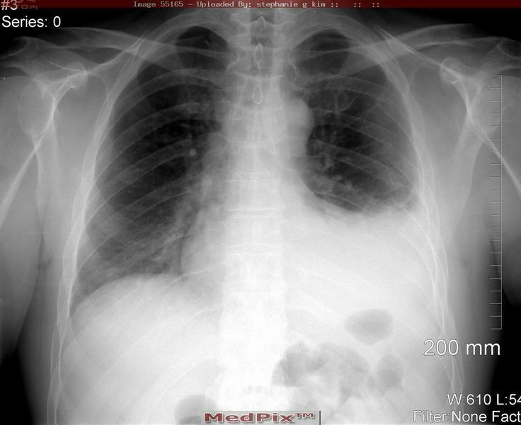
Hemothorax❤
Collection of the blood in the pleural cavity
Respiratory
Lung
Chesttube
114
0
2
Other comments
Sign in
to post comments. You don't have an account?
Sign up now!
Related posts
Chest Tube I
Chest Tube II
Chest Tube III
Chest Tube IV
Respiratory Terminologies I
Respiratory Terminologies II
Respiratory Terminologies V
Respiratory Terminologies VI
Ace Your Respiratory Examination OSCE - With This Clinical Skills Master Class - Dr Gill
Collapse of the left upper lobe of lung
Recent MCQs
Show more MCQs
Recent flashcard sets
Show more flashcards
Feed
Learn
Add
Search
Discuss