
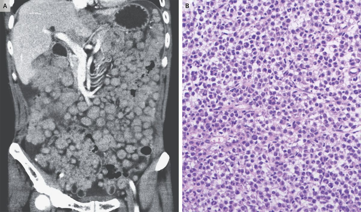
A 62-year-old man presented with a 5-month history of abdominal distention, diarrhea, and weight loss (8 kg). The medical history was notable for excision of a localized oral clear-cell sarcoma 2 years earlier without further treatment. The physical examination showed enlarged cervical lymph nodes and abdominal distention. Computed tomography of the abdomen showed numerous grapelike nodules (Panel A). Ultrasonographically guided biopsy of an abdominal lesion was performed, and the histopathological analysis revealed clear-cell sarcoma (Panel B). The immunohistochemical analysis was positive for S100 protein and showed reactivity to monoclonal antibody HMB45. Clear-cell sarcoma is a malignant soft-tissue tumor derived from neural crest cells; it shares morphologic, immunohistochemical, and ultrastructure similarities with malignant melanoma. This cancer typically affects the limbs of young adults, and involvement of the oral and abdominal cavities is uncommon. The effects of adjuvant therapy are uncertain, and treatment typically involves surgical resection. After four cycles of targeted therapy, the patient declined further treatment and died approximately 9 months after presentation.