
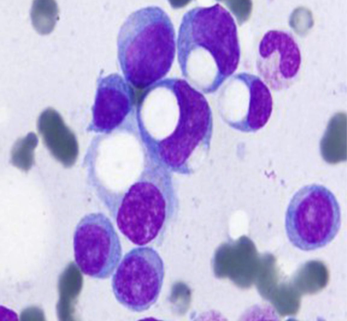
A 72-year-old man was referred to the hematology service after an evaluation for a 1-month history of fatigue and pain in the right hip revealed abnormal results on serum protein electrophoresis. Relevant laboratory test results included a creatinine level of 0.8 mg per deciliter (71 mmol per liter) (normal range, 0.7 to 1.2 mg per deciliter [62 to 106 mmol per liter]), a calcium level of 9.4 mg per deciliter (2.4 mmol per liter) (normal range, 8.8 to 10.6 mg per deciliter [2.2 to 2.6 mmol per liter]), and a total protein level of 9.4 g per deciliter (normal range, 6.6 to 8.3). Serum protein electrophoresis with immunofixation confirmed the presence of an IgG kappa monoclonal spike of 5.5 g per deciliter. A skeletal survey showed lytic lesions in the ilium, pubis, and calvaria, and a bone marrow biopsy confirmed 70% involvement of plasma cells with kappa light-chain restriction. A diagnosis of multiple myeloma was made. Examination of the plasma cells revealed the presence of cells with morphologic features characteristic of signet-ring cells. This type of cell is common in mucin-producing adenocarcinomas; however, in myeloma, the cause of its appearance is incompletely understood. It has been proposed that the presence of such cells is a result of large cytoplasmic inclusions of defective immunoglobulins that displace the nucleus to the periphery. Treatment with an induction regimen of bortezomib, cyclophosphamide, and dexamethasone was initiated, and maintenance therapy was planned.