
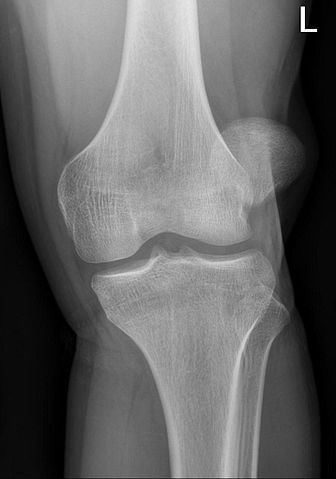
Patellar malalignment is a syndrome or condition that causes pain in the front of the knee or patella (kneecap). The pain commonly affects athletes and active individuals; the pain is associated with activities such as running and skiing. Patellar malalignment is characterized by poor patellofemoral tracking.