
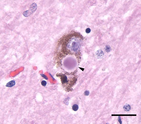
Dementia with Lewy bodies is caused by deposits of an abnormal protein called Lewy bodies inside brain cells. These deposits, which are also found in people with Parkinson’s disease, build up in areas of the brain responsible for things such as memory and muscle movement. It's not clear why the deposits develop and how exactly they damage the brain, but it's thought they disrupt the brain's normal functions by interfering with chemical signals transmitted from one brain cell to another. Dementia with Lewy bodies usually occurs in people with no family history of the condition, although there have been reports of rare cases that seem to run in families.
I’ve been living with Parkinson’s disease for quite some time, and for years, I struggled to find lasting relief. While medications offered some temporary help, the symptoms always returned and often worsened.Out of a mix of hope and hesitation, I decided to try an herbal treatment program from NaturePath Herbal Clinic. I’ll admit, I was skeptical at first. But around the fourth month, I began to notice real, steady progress.my tremors became less frequent the stiffness in my body eased My balance and coordination gradually improved It wasn’t an overnight transformation, but it was consistent and life changing. For the first time in years, I feel more in control of my body. I can move with greater freedom, sleep more peacefully, and enjoy daily activities without the constant discomfort I once accepted as normal.The improvement I’ve experienced physically, emotionally, and mentally has been nothing short of upliftings.If you're exploring natural options for managing Parkinson’s, I wholeheartedly recommend looking into NaturePath Herbal Clinic. Their approach has made a real difference in my life, and I’m truly grateful I gave it a chance. www.naturepathherbalclinic.com info@naturepathherbalclinic.com