
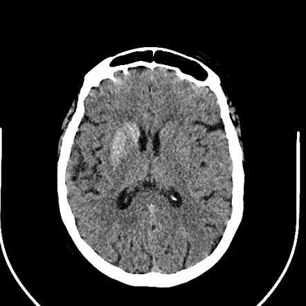
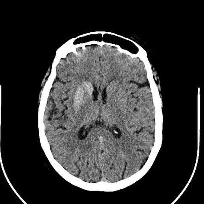
Hemiballismus is a hyperkinetic involuntary movement disorder characterized by intermittent, sudden, violent, involuntary, flinging, or ballistic high amplitude movements involving the ipsilateral arm and leg caused dysfunction in the central nervous system of the contralateral side.