
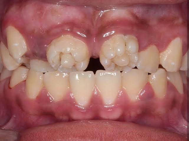
Mulberry molars are a dental condition usually associated with congenital syphilis, characterized by multiple rounded rudimentary enamel cusps on the permanent first molars.[2] Mulberry molars are physically defective permanent molars. The deformity is caused by congenital syphilis. This type of abnormality is characterized by dwarfed molars with cusps covered with globular enamel growths. These teeth are functional but can be cosmetically fixed with crowns, bridges, or implants