
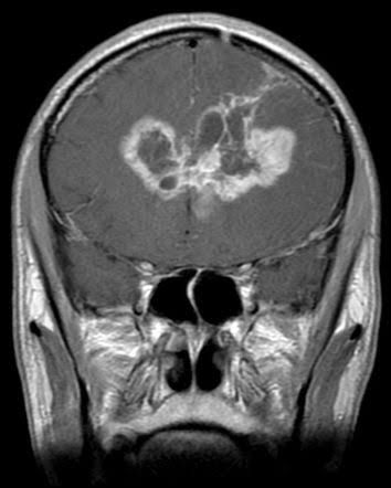
Butterfly glioblastoma (bGBM) is an aggressive form of glioblastoma with bilateral involvement, crossing the corpus callosum to form a butterfly-like tumor [1-3]. Limited literature reports highlight a dismal prognosis with few effective treatment options