Feed
Library
Learning
Discuss
Leaderboard
Journal
Sign in
Login
Sign up
Sign in
Feed
Library
Learning
Discuss
Leaderboard
Journal
Tc
Teddy chin
about 3 years ago
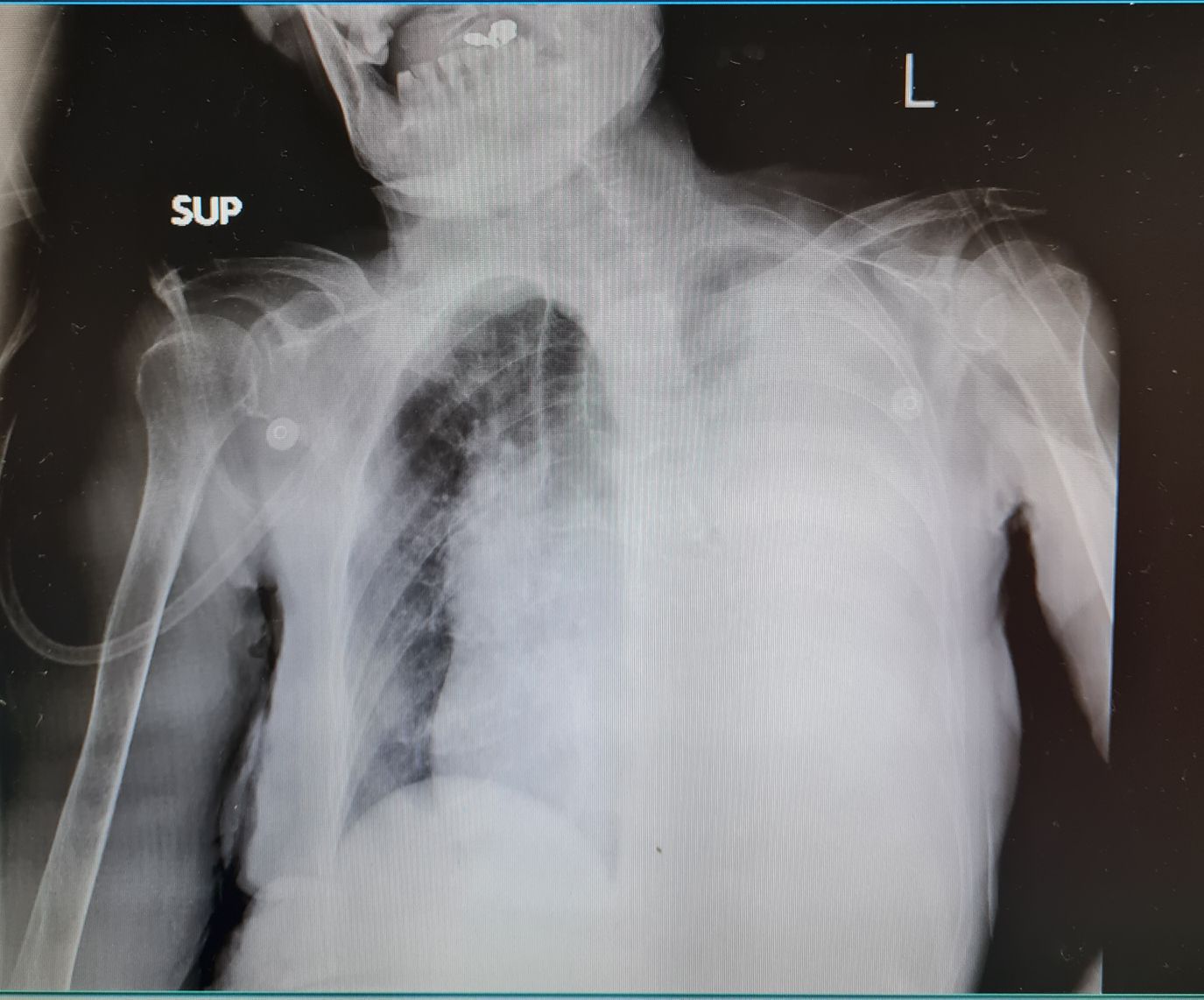
Huge pleural effusion
Large pleural effusion / empyema; leading to subtotal lung collapse and tracheal / mediastinal shift
Pleuraleffusion
Lungcollapse
Mediastinalshift
142
0
0
Other comments
Sign in
to post comments. You don't have an account?
Sign up now!
Related posts
Pleural Effusion I
Pleural Effusion II
Pleural Effusion III
Pleural Effusion IV
Pleural Effusion V
Pleural Effusion VI
Pleural Effusion VII
Pleural Effusion VIII
Pleural Effusion IX
Pleural Effusion X
Recent MCQs
Show more MCQs
Recent flashcard sets
Show more flashcards
Feed
Learn
Add
Search
Discuss