
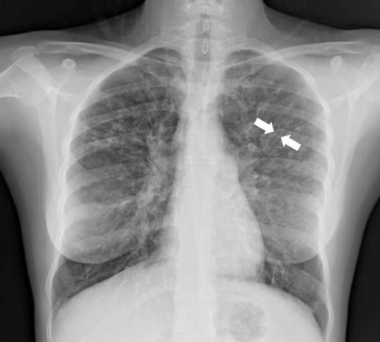
Bronchiectasis is a long-term condition where the airways of the lungs become widened, leading to a build-up of excess mucus that can make the lungs more vulnerable to infection. The most common symptoms of bronchiectasis include: a persistent cough that usually brings up phlegm (sputum)