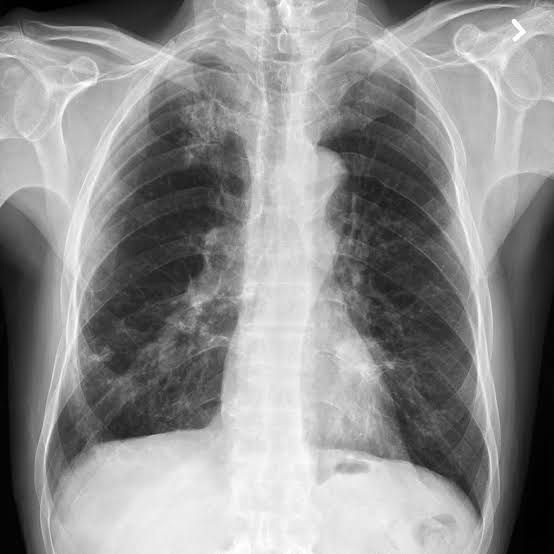
Bronchogenic carcinoma is a malignant neoplasm of the lung arising from the epithelium of the bronchus or bronchiole. Pathology. Bronchogenic carcinomas begin as a small focus of atypical epithelial cells within the bronchial mucosa.