
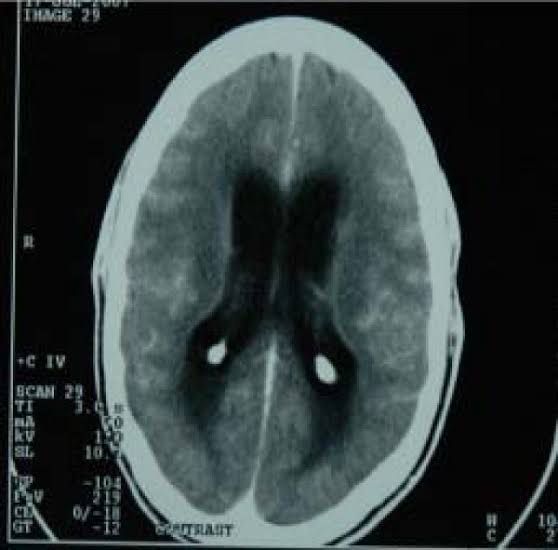
Tuberculous Meningitis (TBM) is a form of meningitis characterized by inflammation of the membranes (meninges) around the brain or spinal cord and caused by a specific bacterium known as Mycobacterium tuberculosis. In TBM, the disorder develops gradually.