
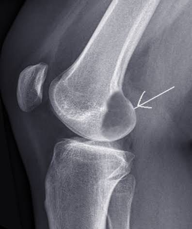
The giant cell tumor of bone (GCTB), also known as an osteoclastoma or a myeloid sarcoma, is a benign local aggressive osteolytic neoplasm that primarily affects skeletally mature young adults. These usually arise in the metaphysis and extend into the epiphysis of long bones.