MEDizzy
MEDizzy
Iqra
Iqraabout 3 years ago
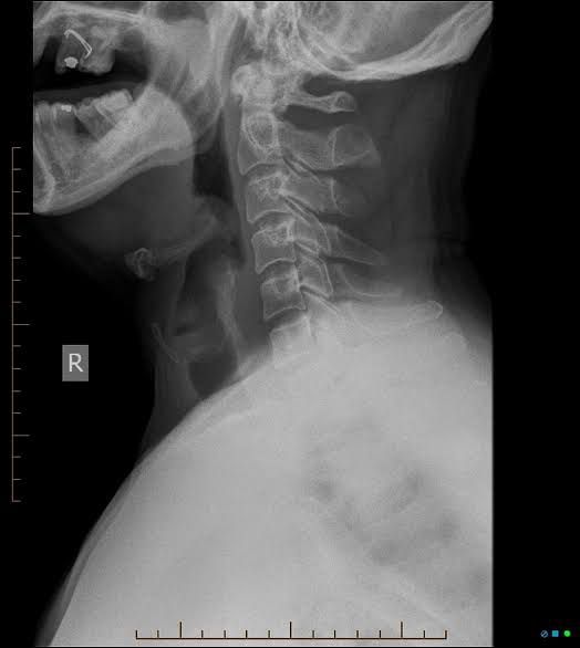
Epiglottitis

Epiglottitis

Epiglottitis is a potentially life-threatening condition that occurs when the epiglottis — a small cartilage "lid" that covers your windpipe — swells, blocking the flow of air into your lungs. A number of factors can cause the epiglottis to swell — burns from hot liquids, direct injury to your throat and various infections. The most common cause of epiglottitis in children in the past was infection with Haemophilus influenzae type b (Hib), the same bacterium that causes pneumonia, meningitis and infections in the bloodstream. Epiglottitis can occur at any age.

0
Other commentsSign in to post comments. You don't have an account? Sign up now!

Recent MCQs















Show more MCQs

Recent flashcard sets















Show more flashcards