MEDizzy
MEDizzy
syeda irha hasan
syeda irha hasanabout 3 years ago
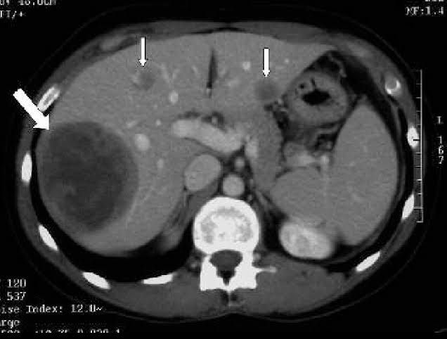
Hypodense lesions

Hypodense lesions

Hypodense splenic lesions are frequently encountered on abdominal CT images. Although most hypodense lesions of the spleen can be considered benign, some findings and clinical conditions warrant closer attention to the lesion.

0
Other commentsSign in to post comments. You don't have an account? Sign up now!

Recent MCQs















Show more MCQs

Recent flashcard sets















Show more flashcards