
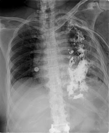
Boerhaave syndrome is one of the most lethal gastrointestinal tract disorders, with mortality rates up to 40%. Symptoms may vary, and diagnosis can be challenging. Also, several factors, including difficulty assessing the esophagus and the unusual blood supply of the organ, contribute to the condition’s high morbidity. Without treatment, the survival of Boerhaave’s syndrome can be days. Management relies on rapid recognition and intervention as a lack of therapeutic interventions can be fatal. Boerhaave syndrome is due to the rupture of the esophagus due to forceful emesis. The disorder may present with vague symptoms, or one may note the classic Mackler triad of vomiting, chest pain, and subcutaneous emphysema. The earlier the diagnosis made, the better the outcomes.