MEDizzy
MEDizzy
Iqra
Iqraabout 3 years ago
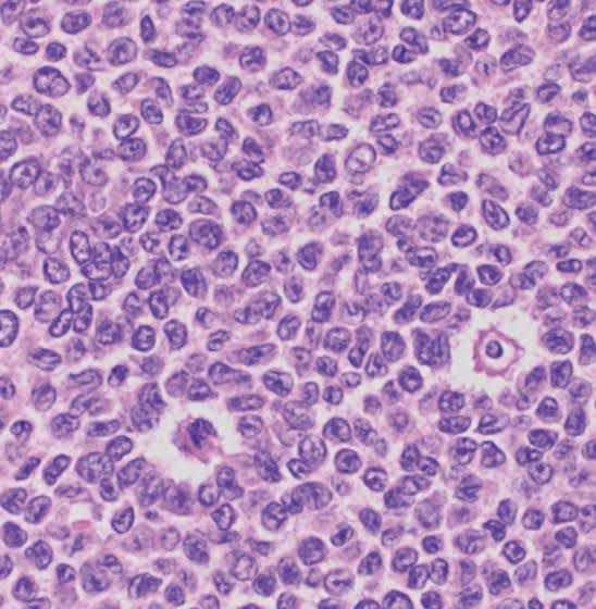
Tumors with coffee bean shaped nuclei

Tumors with coffee bean shaped nuclei

1. papillary thyroid carcinoma. 2. Granulosa cell tumor 3.Langerhen cell histiocytosis 4.Brenner tumor 5. Chondroblastoma

0
Other commentsSign in to post comments. You don't have an account? Sign up now!

Recent MCQs















Show more MCQs

Recent flashcard sets















Show more flashcards