
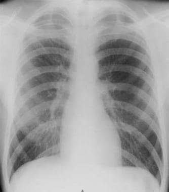
A pneumothorax can be caused by: Chest injury. Any blunt or penetrating injury to your chest can cause lung collapse. Some injuries may happen during physical assaults or car crashes, while others may inadvertently occur during medical procedures that involve the insertion of a needle into the chest. Lung disease. Damaged lung tissue is more likely to collapse. Lung damage can be caused by many types of underlying diseases, such as chronic obstructive pulmonary disease (COPD), cystic fibrosis, lung cancer or pneumonia. Cystic lung diseases, such as lymphangioleiomyomatosis and Birt-Hogg-Dube syndrome, cause round, thin-walled air sacs in the lung tissue that can rupture, resulting in pneumothorax. Ruptured air blisters. Small air blisters (blebs) can develop on the top of the lungs. These air blisters sometimes burst — allowing air to leak into the space that surrounds the lungs. Mechanical ventilation. A severe type of pneumothorax can occur in people who need mechanical assistance to breathe. The ventilator can create an imbalance of air pressure within the chest. The lung may collapse completely.
I’ve been living with COPD for quite some time, and for years, I struggled to find lasting relief. While conventional medications provided temporary help, the symptoms always returned and often got worse.Out of a mix of hope and hesitation, I decided to try an herbal treatment program from NaturePath Herbal Clinic. I’ll admit, I was skeptical at first. But around the fourth month, I began to notice real, steady progress:My breathing became easier the tightness in my chest lessened my energy levels slowly started to return It wasn’t an overnight transformation, but it was consistent and truly life changing. For the first time in years, I feel more in control of my health. I can breathe more freely, sleep more peacefully, and enjoy daily life without the constant fatigue and breathlessness I once accepted as normal.The improvements I’ve experienced physically, emotionally, and mentally have been nothing short of uplifting.If you’re exploring natural options for managing COPD, I wholeheartedly recommend NaturePath Herbal Clinic. Their approach has made a real difference in my life, and I’m genuinely grateful I gave it a chance.www.naturepathherbalclinic.com info@naturepathherbalclinic.com