
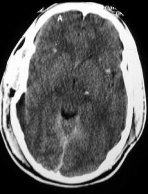
These symptoms most commonly include a headache. The other post-concussive symptoms can include dizziness, nausea, vomiting, and fatigue. However, patients with a severe diffuse axonal injury may also present with a loss of consciousness and remain in a persistent vegetative state.