Feed
Library
Learning
Discuss
Leaderboard
Journal
Sign in
Login
Sign up
Sign in
Feed
Library
Learning
Discuss
Leaderboard
Journal
D
Diyara
about 7 years ago
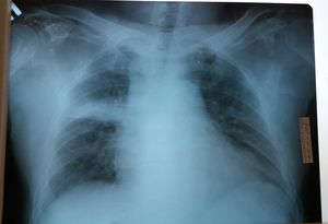
Diagnose it.
Radiology
Xray
Lungs
Pulmonology
Chestxray
529
2
1
Other comments
Sign in
to post comments. You don't have an account?
Sign up now!
Dr. Fatemeh Kourkinejad
about 7 years ago
Low KV radiograph >> TGA, right middle lobe consolidation ?
0
Reply
BrianRN60
about 7 years ago
Cardiomegaly
0
Reply
Related posts
Basic Brainstem Radiology
Spine Radiology I
Spine Radiology II
open pneumothorax
closed pneumothorax
Tension pneumothorax
Ace Your Respiratory Examination OSCE - With This Clinical Skills Master Class - Dr Gill
Doctor Explains: How to PURIFY Smokers Lungs!
Bronchitis
Chest X-Rays
Recent MCQs
Show more MCQs
Recent flashcard sets
Show more flashcards
Feed
Learn
Add
Search
Discuss