
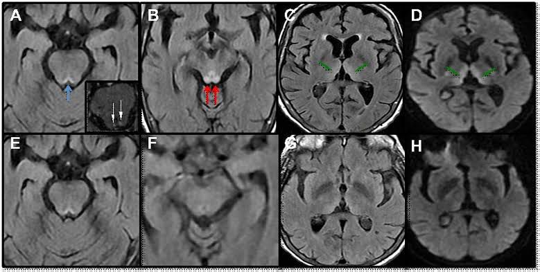
Wernicke's encephalopathy is a degenerative brain disorder caused by the lack of thiamine (vitamin B1). It may result from alcohol abuse, dietary deficiencies, prolonged vomiting, eating disorders, or the effects of chemotherapy. B1 deficiency causes damage to the brain's thalamus and hypothalamus.