
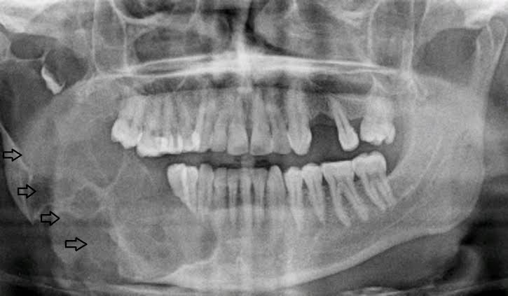
Ameloblastoma is a rare, noncancerous (benign) tumor that develops most often in the jaw near the molars. Ameloblastoma begins in the cells that form the protective enamel lining on your teeth. The most common type of ameloblastoma is aggressive, forming a large tumor and growing into the jawbone.