
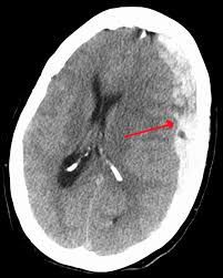
A subdural hematoma is a buildup of blood on the surface of the brain. The blood builds up in a space between the protective layers that surround your brain. Your brain sits within a bony skull. Inside your skull and over the brain there are 3 layers called the meninges.