
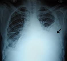
What is hemothorax? Hemothorax is when blood collects between your chest wall and your lungs. This area where blood can pool is known as the pleural cavity. The buildup of the volume of blood in this space can eventually cause your lung to collapse as the blood pushes on the outside of the lung.